William Mottoa
hace 1 mes

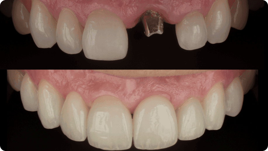
Tu Salud Oral es nuestra prioridad. Creamos diseños de sonrisa personalizados y tratamientos de rehabilitación oral e implantología adaptados a tu rostro y estilo.


Ofrecemos una amplia gama de servicios y tratamientos con procesos cómodos y eficientes, logrando resultados que realzarán la belleza de tu sonrisa y te harán sentir mucha más confianza.













Ofrecemos resultados que superan las expectativas de nuestros pacientes.
Nuestro enfoque integral y personalizado garantizan sonrisas saludables y cambios estéticos increibles!



La Dra. Lina Morales es una especialista en rehabilitación oral, con 18 años de experiencia transformando sonrisas y mejorando la calidad de vida de sus pacientes.
Su enfoque se basa en la combinación de tecnología avanzada, precisión clínica y un gran calor humano. Especialista en el diagnóstico, planificación y ejecución de tratamientos de rehabilitación oral, dedicados a devolver la funcionalidad y estética de la sonrisa de cada paciente.


Contamos con cientos de testimonios de éxito debido al detalle ofrecido a cada caso y al respeto que damos a cada persona que nos visita y ofrece su confianza para poner su salud oral en nuestras manos!






hace 1 mes
Fue una experiencia muy agradable y satisfactoria con la Doctora Lina y su equipo, realmente son muy profesionales en su trabajo aparte de du calidez y acogida.
hace 4 meses
La Doc Lina es una excelente profesional junto con su equipo de trabajo, con una calidad humana increíble, las instalaciones del consultorio muy cómodas que haces que te sientas como en casa. La recomiendo un 100% 👏🏼 Estoy muy feliz con el resultado de mi sonrisa 💖 Gracias Doc, que bueno fue conocerte 🫶🏼
hace 10 meses
Muy contento con mis resultados, el trato, lss instalaciones y el talento humano es de la mejor calidad. Lo recomiendo y volvería a realizarme cualquier procedimiento con la doctora y su grupo de trabajo, muchas gracias.
hace 1 año
Llegué buscando un servicio odontológico y encontré dos seres humanos con una excelente calidad humana, mi miedo a la odontologia la perdí cuando llegué a las mejores manos, el trato de la doctora Lina morales , y Yesi es muy acogedor , su trabajo impecable me encanta que no solo trabajan por el dinero si no que aman lo que hacen, y se notan en el trato que le dan a cada uno de sus pacientes, ya no me da miedo ir a odontología antes siento necesario ir a verlas, su aura me recargan.
hace 1 año
Mi experiencia fue muy chévere porque me encantó el procedimiento que me realizó la doctora Lina. La atención y las instalaciones son las mejores , me siento tranquilidad y confiada cada vez que la visito , en las mejores manos.
hace 1 año
La doctora Lina Morales es una excelente profesional, viaje del Londres Reino Unido para mí rehabilitación oral y me encontré una persona onesta ,segura y responsable de su trabajo, rapidez y un trabajo inpecable.
hace 1 año
Hola desde que conocí la doctora lina .me fascinó su trabajo. Su experiencia en su trabajo y su amabilidad para tratar a sus pacientes. La recomiendo .al 100 por ciento.
hace 1 año
La Doctora Lina y su equipo de trabajo son increíbles, son muy profesionales y sobre todo tienen calidad humana. Mi sonrisa solo está en manos de la mejor rehabilitadora dental Lina Morales.
hace 1 año
La calidez y profesionalismo de la Dra Lina, hace que con toda tranquilidad pongas en sus manos todo el lindo trabajo que desempeña para sentirte mejor con tu sonrisa, al igual que Jessica son un amor de personas y profesionales. Siempre volveré feliz a mis controles.
hace 1 año
Llevo muchos años trabajando con la Doctora Morales con resultados excepcionales. Su trabajo es impecable, el consultorio excelentemente equipado, pero definitivamente, lo mejor es el excelente trato de la Doctora Morales y Jessi. Recomendado100%
hace 1 año
La Dra Lina y su compañera son excelentes personas, profesionales y muy amables, realizan su labor de la manera mas precisa y meticulosa, la puntualidad en sus citas, en general las recomiendo 100%. Saludos.
hace 1 año
La Doctora Lina es la mejor Odontologa y Rehabilitadora que puedes conocer en Cali y Colombia ♥️. Viajé de Estados Unidos a Cali 🇨🇴 para realizarme un procedimiento con ella, y desde que la conocí (hace 4 años), no la cambió por nadie, ella es la encargada de mantener mi sonrisa sana y hermosa 😊, y también la de toda mi familia 🫶🏽. LA RECOMIENDO 100%. No dudes en contactarla 🙏.
hace 2 años
My name is Lee. I am Jamaican but reside in Florida, USA. After being treated like a number at my local dentistry, I asked a friend about dentists in Cali, Colombia. Dra. Lina was recommended by my friend. I made an appointment and I could not be more pleased. Going to the dentist is not always a pleasant experience for me. However, the attention to detail and the professionalism shown by Dra. Lina and her associates are by far the best I've ever had! Amidst the angst of hearing the drill Dra. Lina had her Alexa playing reggae music in the background to assuage my fear. For me, that is attention to detail that I never experienced anywhere. With a clean office and her friendly associates, I look forward to completing my dental procedures in the coming months. Thank you, Dra. Lina😊.
hace 5 años
Súper feliz con mi tratamiento, odontologia de alta calidad y con sentido humano. La mejor.
hace 5 años
La calidez y el profesionalismo de la doctora es increíble. Además de tener manos de seda. Súper recomendadísima
hace 5 años
El servicio profesional es excelente, acompañado de la calidez y el buen trato que he recibido como paciente brindado por la doc con su equipo, Lo cual valoro y aprecio muchísimo. Esto me ha dado la confianza y el deseo de llevar a cabalidad el tratamiento indicado.
hace 5 años
El servicio de todo su personal es excelente, se respira un ambiente amable, están atentos a todo, la Dr Lina Morales es muy experimentada y acertada en todos sus tratamientos. Súper recomendado!
hace 5 años
Excelentes profesionales... Mucho talento humano ..paciencia.. carisma .. y excelente atención ... Un abrazo para uds .. linita y Jessi muy contento con mi proceso
hace 6 años
Excelente atención,tanto en lo profesional como en la amabilidad de la Doctora y su asistente.
hace 6 años
La Dra. Lina ofrece una atención de excelente calidad, con la mayor protección y eficiencia. La recomiendo en los mejores términos.
hace 6 años
Excelente profesional, muy buen servicio y calidad humana en la atención súper recomendada.
hace 6 años
Doctora con un gran amor por su trabajo, tiene mucha paciencia, muy profesional la mejor odontologa
hace 6 años
El profesionalismo junto a la ética en el ejercicio de su labor y gran sencillez en el trato a sus pacientes, es lo que más destacó de la Dra Lina Morales
hace 6 años
La Doctora Lina es una Excelente profesional que brinda mucha seguridad a todos sus pacientes. 100% recomendada.
hace 6 años
La mejor rehabilitadora oral de la ciudad sin ninguna duda ...mis dientes siempre en las mejores manos

info@dralinamorales.com
+57 3164604403
Cll 4 # 25-47 Edf El Triángulo consultorio 201 Barrio San Fernando, Cali - Valle, Colombia
© 2025 Dra. Lina Morales | Desarrollado por Kmargo.com
Asesoría personalizada